Quantra™ Technology

Standardiserar analys av brösttäthet med maskininlärning vid vårdtillfället.

Hologic Quantra™ Technology

    Översikt

    Dokument

    Utbildning

    Standardisera analys av brösttäthet

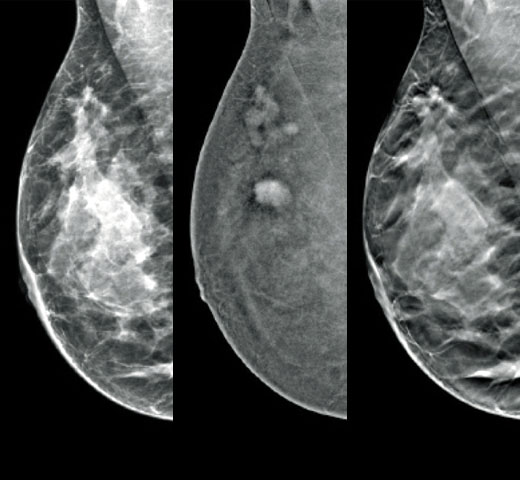
    Det är känt att en hög brösttäthet ökar en kvinnas risk för bröstcancer.1 Behovet av noggrann och opartisk analys är därför kritiskt. Med hjälp av maskininlärning analyserar Quantra Technology-programvaran både 2D™- och tomosyntesbilder för fördelning och textur av parenkymal vävnad. Den kategoriserar bröst i fyra bröstkategorier utifrån sammansättning enligt riktlinje från American College of Radiology (ACR) BI-RADS Atlas 5th Edition.2

    Bättre riskförutsägelse

    Utöver volym kan mönster och textur av fibroglandulär vävnad spela en lika viktig roll vid mammografisk riskbedömning av cancer.3–5 Genom att analysera och kategorisera bröstets textur och mönster kan vår teknik ge den exakta informationen som du behöver för att uppnå mer konsekvent och tillförlitlig bedömning samt tillförlitlig utformning av patientspecifik screening.

    Opartisk bedömning

    Objektiv maskininlärningsalgoritm som tilldelar en kategori för brösttäthet baserat på analys av bröstvävnadens textur och mönster.

    Standardisering

    Höj vårdstandarden och standardisera rapportering på hela radiologi-mottagningen.

    Smidigare patientförlopp

    På arbetsstationen för bildtagning visas täthet för att underlätta patienthanteringsprotokoll för eventuell kompletterande bilddiagnostik.

    Illustration av Hologic Breast Health Continuum of Care med radiologi

    Utnyttja tiden bättre

    Breast Health Continuum of Care erbjuder integrerade lösningar för klinisk tillförlitlighet, effektivt arbetsflöde och omtänksam patientvård. Det ger fler kvinnor längre tid med bättre hälsa.

    Quantra Technology är en del av Hologic Screening & Diagnosis Solution.

    Avsikt med utformning och kliniskt resultat

    Den opartiska algoritmen i programvaran analyserar både 2D- och tomosyntesbilder för att:

    • Övervinna subjektivitet vid visuell bedömning, vilket ger mer konsekvent och tillförlitlig bedömning*
    • Höja vårdstandarden och standardisera rapportering
    • Underlätta patienthanteringsprotokoll för kompletterande bilddiagnostik.
    Avbildning av bröst
    Kvinna som besöker sjukhuset och frågar receptionist på Breast Imaging Suite om screening och diagnostisering

    Besök vårt virtuella sjukhus

    Bläddra i vår portfölj med lösningar för brösthälsa i 3D. Se hur du kan utnyttja tiden bättre för hela Breast Health Continuum of Care.

    Hologic AI-driven integrerad programvarulösning

    Våra produkter är utformade för att fungera tillsammans och kan anpassas efter dina behov. Vår svit med integrerade och framtidssäkra AI-lösningar är utformade för att förbättra tidig detektion och diagnos av bröstcancer, hjälpa till att skynda på arbetsflödet och möjliggöra individanpassad patientvård med automatiserad bedömning av brösttäthet. Diskutera dina kliniska behov med vårt erfarna team för att hitta den lösning som passar dig bäst.

    Riskkategorier8

    Bevis. Kunskap. Samarbete.

    Vår utbildningsportal förbättrar patientvården genom utmärkt utbildning, kommunikation av kliniska och vetenskapliga bevis och partnerskap med sjukvården.

    Kunskap

    Radiografer som granskar mammografi med tomosyntes på en bildskärm Radiografer som granskar mammografi med tomosyntes på en bildskärm

    Resultat av ToSyMa-studien, en 3D-framtid för bröstcancerscreening

    Kvinna som sitter framför en mammografimaskin med sjukvårdspersonal vid sin sida Kvinna som sitter framför en mammografimaskin med sjukvårdspersonal vid sin sida

    Program för bröst- och livmoderhalsscreening nu och i framtiden

    läkare och patient diskuterar bröstcancer läkare och patient diskuterar bröstcancer

    Minimalt invasiva icke-kirurgiska bröstcanceråtgärder

      * Poängbedömningar baseras på ACR BI-RADS-kategorier enligt de reviderade riktlinjerna från American College of Radiation (ACR) BI-RADS Atlas 5th Edition. Detta motsvarar mönster och textur jämfört med volym vid bedömning av täthet.
      ** Baserat på en bildtolkningstid på 8 timmar per dag.
      1. Rafferty EA, Durand MA, Conant EF, et al. Breast Cancer Screening Using Tomosynthesis and Digital Mammography in Dense and Nondense Breasts. JAMA. 2016 Apr 26;315(16):1784-6.
      2. ACR BI-RADS Atlas, 5th Edition. 2013 Tillgänglig från: https://www.acr.org/Clinical-Resources/Reporting-and-Data-Systems/Bi-Rads (Hämtad november 2019.)
      3. Zuley M, Guo B, Catullo V, et al. “Comparison of Two-dimensional Synthesized Mammograms versus Original Digital Mammograms Alone and in Combination with Tomosynthesis Images.” Radiology. 2014 Jun;271(3):664-71. Epub 2014 januari 21
      4. Durand M, Raghu M, Geisel J, et al. “Synthesized 2D Mammography + Tomosynthesis: Can We See Clearly?” (rapport presenterad på årsmötet för Radiological Society of North America, Chicago, Il, december 2015).
      5. Choi J, Han B, Ko E, et al. “Comparison with Two-Dimensional Synthetic Mammography Reconstructed from Digital Breast Tomosynthesis and Full Field Digital Mammography for the Detection of T1 Breast Cancer.” European Radiology. 2016 Aug;26(8):2538-46. Epub december 2015.
      6. Hologic-data på fil: DHM-08611 Rev. 006.
      7. Data på fil: Clinical Study Report CSR-00116 Rev. 004.
      8. Kategorier för bröstsammansättning enligt beskrivningen i ACR BI-RADS Atlas.

       

      Säkerhetsdatablad

      Bipacksedlar

      2797

      Hologic BV, Da Vincilaan 5, 1930 Zaventem, Belgium.

      Nummer till anmält organ om tillämpligt