Cellient® Automated Cell Block System

Öka diagnostisk tillförsikt med förbättrad cellinsamling.

Medicinteknisk enhet på bord i laboratoriemiljö.

    Översikt

    Dokument

    Utbildning

    Få ut det mesta av varje cellblock

      Det automatiserade systemet Cellient är ett fullständigt automatiserat cellblockinstrument. Med en total bearbetningstid på mindre än en timme koncentrerar vakuumassisterade filter snabbt tillgängliga celler i blocket. Systemet producerar kontinuerligt diagnostiskt användbara högkvalitativa block för effektiv granskning.1

    Förbättrad insamling

     

    Använder vakuumassisterad filtrering

    Samlar in tillgängliga celler för att maximera antalet celler, även från små och bristfälliga prover.

    Byggt på ThinPrep®-teknik.

     

    Förbättrad presentation

     

    Bidrar till att bibehålla en klar och tydlig cellarkitektur.

    Skapar koncentrationer av celler i ett block.

    Stöder enklare och mer produktiv patologigranskning.

     

    Förbättrad konsistens

     

    Skapar högkvalitativa block.

    Fullständigt automatiserat med litet eller inget behov av operatör.

    Mindre risk för korskontaminering.

    Konstant snabb bearbetningstid på 45 minuter eller mindre.

     

    Grafik som visar sambandet mellan Hologic-produkter

    Samarbetar med dig för förbättrad cervixhälsa

    Vi är stolta över att vara globala ledare inom kvinnohälsa och screening av livmoderhalscancer. Vårt engagemang för precision och tidig detektion av livmoderhalscancer är starkt och omfattande.  Vi erbjuder en bred och unik screeningportfölj från provtagning till diagnos, från HPV till cytologi och nu även AI-baserad digital diagnostik.

    Provtyper lämpliga för cellblock

    • Prover med finnålsbiopsi (FNA) från lunga, lever, sköldkörtel, bröst, lymfknuta eller andra delar på kroppen.
    • Kroppsvätskor: pleural, ascites, perikardiell.
    • Respiratoriska: bronksköljning, bronkborste, sputum.
    • Cervikala.1
    Tekniker tittar på ett prov i laboratorium

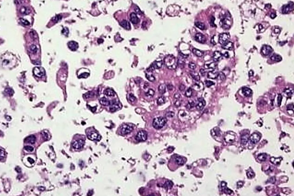
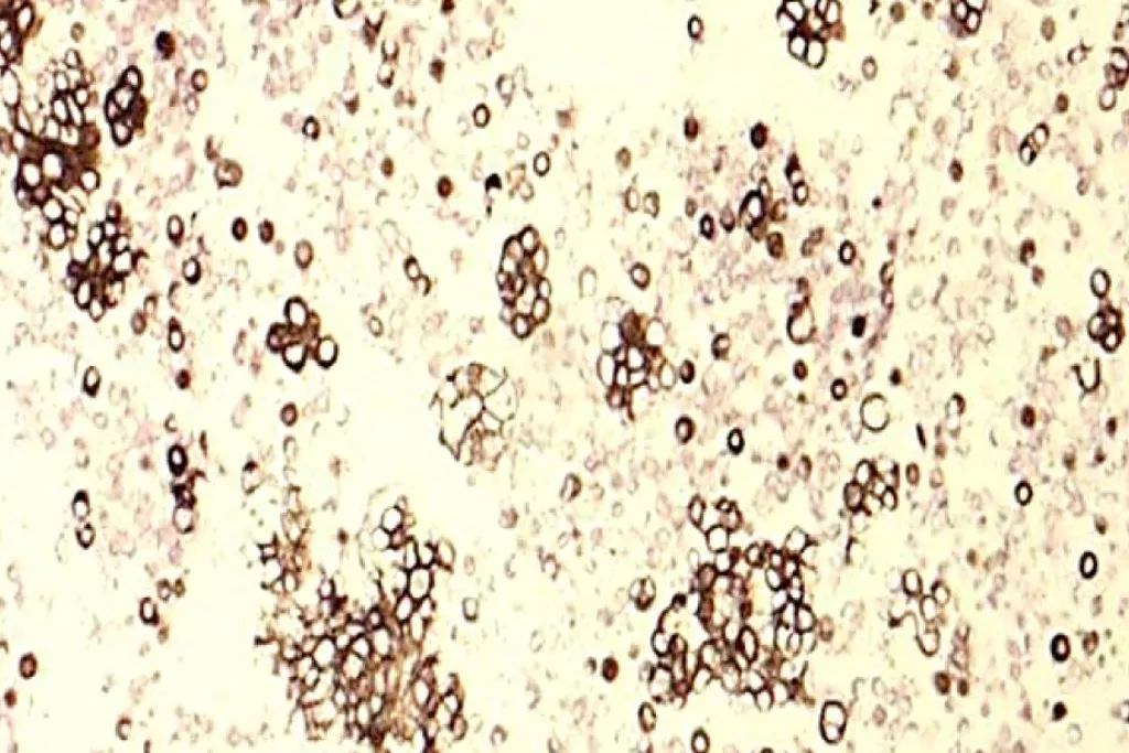
    Bildgalleri2

    Bevis. Kunskap. Samarbete.

    Vår utbildningsportal förbättrar patientvården genom utmärkt utbildning, kommunikation av kliniska och vetenskapliga bevis och partnerskap med sjukvården.

    Kunskap

    Cytologiprover på objektsglas och hörnet av en skärm som visar digitala cytologisvar, redo för analys. Cytologiprover på objektsglas och hörnet av en skärm som visar digitala cytologisvar, redo för analys.

    Island rustar med senaste cytologitekniken

    Paneldiskussion med några av Öresundsregionens mest inflytelserika sjukvårdspolitiker, Preben Friis-Hauge, Carina Ohls Paneldiskussion med nogle af Øresundsregionens mest indflydelsesrige sundhedsplejepolitikere, Preben Friis-Hauge, Carina Ohlsson, Maria Berglund, og Lars Gaardhøj.

    Nordisk seminarium om kvinnohälsa i Köpenhamn

    Vårdgivare som ser på undersökningsbilder på monitorskärm Vårdgivare som ser på undersökningsbilder på monitorskärm

    Godkännande för försäljning från FDA för Genius™ Digital Diagnostics System

      1. Bruksanvisning för Cellient® Automated Cell Block System, MAN-08346-002, Rev 002
      2. Bild tillhörande Cytology Dept. Groningen University Hospital, Nederländerna

      Säkerhetsdatablad

      Bipacksedlar

       

      2797
       

      Hologic BV, Da Vincilaan 5, 1930 Zaventem, Belgium.

      Nummer till anmält organ om tillämpligt